
Gallery procedures
Veneers, Crowns, Dental Implants (Titanium & Zirconia) and More
At Dental Center PV, we’re proud of the beautiful smiles we’ve helped create. Our smile gallery is a collection of before-and-after photos that showcase the transformational power of our services. From simple teeth whitening to advanced dental implants in titanium and zirconia, our team of experienced dentists, led by Dr. Alberto Hernández, has the skills and expertise to help you achieve the smile of your dreams.
Dr Hernandez
Browse our gallery below to see the incredible results of our titanium and zirconia implants, along with other procedures. Ready to transform your smile?
Contact us for a consultation!

TITANIUM IMPLANTS
Titanium implants are a long-lasting solution for missing teeth, offering unmatched strength and biocompatibility. See the results of our expert placements.

Zirconia Implants
Zirconia implants are a tooth replacement option made of a white ceramic material called zirconia. They are a metal-free alternative to titanium implants
Titanium implants are a long-lasting solution for missing teeth, offering unmatched strength and biocompatibility. See the results of our expert placements.
Titanium implants are a long-lasting solution for missing teeth, offering unmatched strength and biocompatibility. See the results of our expert placements.

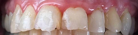
Crowns and Veneers
Crowns and veneers are ideal for enhancing the appearance and functionality of your teeth. Whether you need to restore a damaged tooth or achieve a Hollywood smile, our expert team, led by Dr. Alberto Hernández, delivers stunning results with a natural look.
Reviews and Galery






⭐⭐⭐⭐⭐
“I was worried about traveling alone, but they made everything simple. The clinic is spotless, the dentist was very kind, and Puerto Vallarta is stunning.”

⭐⭐⭐⭐⭐
“Dr Hernandez change my life with my Veneers and crowns, I’d do it again 100%. Now my partner is under process too” – Sharnez, Texas USA





⭐⭐⭐⭐⭐
“My dentist quoted me $18,000 for Veneers. I got the same treatment here for less than half — and even stayed for free! The quality was just as good.”
— Teri, USA

⭐⭐⭐⭐⭐
“I was nervous about dental work abroad, but everything was amazing. The clinic is modern, the staff speaks perfect English, and my smile has never looked better. Bonus: I got a vacation out of it!”
— Caroll Hall, Alaska USA





















